いろいろ 下顎骨骨折 治療 230874
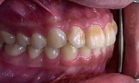
下顎骨骨折 下顎骨骨折により、口が開きにくくなったり、ものが咬めなくなったりという、重篤な障害が起こります。 放置した場合、後遺症が残ることが多く、早めに形成外科専門医の受診が必要です。 下顎骨の中央での骨折をチタンプレートで固定し下顎骨骨折の治療の目的は、たんに骨をひっつけることではなく 、咬めるように治すことです。 すなわち正常咬合への回復が主眼となります。 有歯顎の場合は副子または歯牙結紮などを施し、 顎間固定 により骨片の整復と安静をはかります。下顎骨骨折治療後のアンケート調査結果 記1伐なし12% 記1伐なし5」}% 36、3 図1 治療後の現状に対する満足度(総合的評価) 図2 食品摂取能 最低0点~最高40点
顎顔面外傷について 宮崎大学医学部 感覚運動医学講座 顎顔面口腔外科学分野
下顎骨骨折 治療
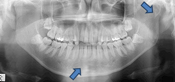
下顎骨骨折 治療-日口外傷誌 J Jpn Soc OMF Trauma 16:1424,17 原 著 小児下顎骨骨折の外科的治療 沖 田 美 千 子1) 針 谷 靖 史1) 関 口 隆1) 原 田 雅 史1) 石 戸 克 尚2) 1)医療法人渓仁会手稲渓仁会病院歯科口腔外科 (主任:関口 隆主任部長) 治療 顎骨骨折は頭部外傷や周囲骨の骨折を併発していることがあります。 そのため意識レベル、頸部(首)の腫れ、口腔内の出血の有無を確認します。特に頸部の腫れは窒息など可能性もあります。 このような場合には、呼吸および循環動態の安定を優先した治療(酸素投与や気道確保




下顎骨短顎骨矯形 Kelp
無麻酔歯石取りによる下顎骨骨折を治療したパピヨン Aちゃん パピヨン、避妊雌、5歳 前日の無麻酔歯石取りの後から、口が閉じられないという主訴で来院しました。 口を閉じることができず口腔内出血が見られました。 下顎は不安定で、X線検査では頬骨骨折 1 頬骨体部骨折 骨折によって顔面の変形(平坦化)、鼻部・頬部・口腔内の感覚障害、眼球運動障害・複視(物が二重に見える)などを生じます。 また、弓部の骨折を伴うことが多くあります。 治療は顔面で必要な個所の切開を行い、骨の保存的な治療(手術をしない)の場合 1約1~2週間上の歯と下の歯に特殊な装置を付け、ゴムにより牽引し咬みあわせを改善する。 2骨折部位の安静を図るという意味で上の歯と下の歯を咬ませたままにして固定(顎間固定)を行う。 3
A.骨折した部分によって変わって来ます。下の図を使って説明しますね。 前頭骨(緑) :整容性に大きく関わってきます。 凹みが強い場合は、プレート(骨をとめるチタン製の小さい板)を使って骨折部分を固定します。顎骨とその周囲の炎症の 診断に必要な画像検査法を列挙し 特徴的な画像所見を説明する 今日の内容 炎症、ササっとおさらい 歯性感染の顎骨への波及経路 骨髄炎 急性期・亜急性期の骨髄炎 急性下顎骨骨髄炎 慢性期の骨髄炎 慢性化膿性下顎骨骨髄炎下顎骨骨折 (かがくこつこっせつ) 口腔外科を訪れる顔面の外傷の中で最も多いのが下顎骨骨折です。 基本的に内出血や顔面の腫れ、変形、痛みなどは、どの顔面骨折でも認められます。 この他に特徴的な症状として、下顎骨骨折では噛み合わせの異常
下顎骨骨折の統計学的考察 ―骨折線数を考慮した分類による検討― 昭和大学医学部形成外科学講座 阿部 央 要約:下顎骨骨折は顔面骨骨折の中でも,骨折線数や骨折部位が診断や治療上問題になりやす推奨 下顎後退症においては,下顎枝矢状分割術でrigid fixation を施行しても,術後の2 週間程度は顎間固定を行った方が,後戻りも少なく安定性に優れている(グレードC1)。 Ⅱ 3章 下顎後退症,小顎症 CQ31 下顎後退症に対して下顎前進術を行う場合 7 下顎骨骨折 (かがくこつこっせつ) 下あごの骨折で、顔面部の骨折では、最も多発例です。 交通事故では、バイク、自転車で走行中、自動車と出合い頭衝突などで転倒した際の外力で、下顎の骨折は発生しています。 上記の6つが予想されます。 治療




蔡依津獸醫師 繼發病理性下巴骨折 下顎骨折 為狗嚴重牙周病之併發症



下顎骨骨折
特に下顎骨骨折は顎骨骨折全体の約2/3を占め,上顎骨骨折より頻度が高い。男性に多い。歳代に最も多く(29~53%),ついで10歳代に多い。以下,下顎骨骨折について略述する。 代表的症状・検査所見 症状 顔貌の変形がみられる。原因としては顔面下顎骨骨折(かがくこつこっせつ) ①オトガイ部(正中部) ②下顎体部 ③下顎角部(埋伏智歯部) ④下顎頸部 下あごの骨折で、顔面部の骨折では、最も多発例です。 交通事故では、バイク、自転車で走行中、自動車と出合い頭衝突などで転倒した際の当科を受診し,歯槽骨骨折を除く下顎骨骨折の診断を得 た症例のうち,検討可能であった40 症例64 部位とし た.検討項目は,性別,年齢分布,来院経路,受傷原 因,受傷から来院までの期間,骨折部位,治療法,顎間 固定期間とした. 結果




下顎骨骨折の症状 診断 治療 骨 筋肉 関節の病気 All About




下顎骨骨折の症状 診断 治療 骨 筋肉 関節の病気 All About
質問 (Question) 「下顎骨骨折の治療法」とその予後について知りたい。 回答 (Answer) 自館OPAC・NDLOPAC等でヒットした「下顎骨骨折」の資料が古いため、医中誌webで最近 5 年分の「下顎骨骨折」「治療」「予後」を含む論文を検索。 質問内容に合っていた 5 件下顎骨骨折の症状・診断・治療 骨・筋肉・関節 まず、上あごと下あごの歯に歯列矯正(きょうせい)のときに装着するような金属をつけて、ゴムで固定する治療(顎間固定:がっかんこてい)をおこないます。 手術を行う場合も、行わない場合も、下




上顎骨骨折の症状 診断 治療 骨 筋肉 関節の病気 All About




聽過顎骨壞死嗎 您有使用治療骨鬆的藥物嗎 看牙齒前務必跟醫師說 從12個問題淺談藥物有關之顎骨壞死mronj




無痕削骨手術 Lexcellence 越




麥片 下顎關節粉碎骨折 新竹動物醫院推薦 台大慈仁動物醫院 毛小孩們首選醫院




上顎骨骨折の症状 診断 治療 骨 筋肉 関節の病気 All About




用藥預防骨鬆礦化反易骨折 骨科 復健 健康百科 元氣網



1




下顎骨 かがくこつ したあご の骨折 日本医科大学武蔵小杉病院



顎関節突起骨折とは 歯科口腔外科症例解説一覧 東京銀座シンタニ歯科口腔外科クリニック



為什麼正顎手術或下顎骨角削骨手術後 下唇和下巴會麻麻的 整形外科林唯農醫師 顏面整形美容外傷重建慢性傷口 Facebook



正顎手術之後的骨骼會完全癒合嗎 陳怡傑正顎削骨整形專科官方網站



顎顔面外傷について 宮崎大学医学部 感覚運動医学講座 顎顔面口腔外科学分野




下顎骨骨折 中頭病院




無痕削骨手術 Lexcellence 越




下顎骨痛顎骨長期不明悶痛 腫脹 小心下顎造釉細胞瘤作怪 rbmi




顎顔面の外傷 口腔外科相談室 日本口腔外科学会



顏面骨折外傷重建 特殊設計的顏面骨釘 陳怡傑正顎削骨整形專科官方網站



3d列印 下顎骨 跨國援助台廠助菲導入智慧醫療 Yahoo奇摩遊戲電競




下顎削骨手術 戰勝國字臉 聖緹雅醫美




麥片 下顎關節粉碎骨折 新竹動物醫院推薦 台大慈仁動物醫院 毛小孩們首選醫院




下顎骨囊腫下顎骨囊腫 如何處理 Aozqkc




顳顎關節位移不用開刀靠復健復原 即時新聞 自由健康網




機車自撞 對撞 顏面易多處骨折醫提醒全罩安全帽確可防護 亞太新聞網ata News




從顴骨骨折的治療觀點談顴骨削骨手術 陳怡傑醫師的正顎削骨相談室 痞客邦




顎関節外来 専門外来について 堺市立総合医療センター



口腔外科 正顎手術 中山醫學大學附設醫院



顎顔面外傷について 宮崎大学医学部 感覚運動医学講座 顎顔面口腔外科学分野




蔡依津獸醫師 繼發病理性下巴骨折 下顎骨折 為狗嚴重牙周病之併發症




下顎骨骨折の症状 診断 治療 骨 筋肉 関節の病気 All About




下顎骨骨折の症状 診断 治療 骨 筋肉 関節の病気 All About




Imf Dr 陳瑞鋒的blog 二部曲 凡登整形外科




下顎骨短顎骨矯形 Kelp




下顎骨骨折の症状 診断 治療 骨 筋肉 関節の病気 All About




跌倒傷到下顎骨變 臉歪暴牙 歲女靠 顳顎治療 變正妹 Ettoday健康雲 Ettoday新聞雲



Wsava Org Wp Content Uploads 21 05 Wsava Global Dental Guidelines Jsapmandarin Pdf




無痕削骨手術 爾凱國際健康諮詢有限公司




車禍臉撞凹變形 淺談顏面骨骨折作者 臺大醫院外科部整形外科黃柏誠主治醫師專題報導19年08月臺大醫院健康電子報




下顎骨囊腫下顎骨囊腫 如何處理 Aozqkc




下顎削骨手術 戰勝國字臉 聖緹雅醫美




顏面骨折



下顎骨骨折




下顎骨短顎骨矯形 Kelp
.jpg)



麥片 下顎關節粉碎骨折 新竹動物醫院推薦 台大慈仁動物醫院 毛小孩們首選醫院




車禍常見下顎骨折復原至少需6 週 Hello 醫師



1




下顎骨骨折 Mandibular Fracture 蔡佩晏醫師的矯正故事 打造你的微笑曲線專家 Dr Tsai S Blog 痞客邦



為什麼正顎手術或下顎骨角削骨手術後 下唇和下巴會麻麻的 整形外科林唯農醫師 顏面整形美容外傷重建慢性傷口 Facebook



歯科口腔外科 赤穂市民病院




下顎削骨手術 戰勝國字臉 聖緹雅醫美




無痕削骨手術 爾凱國際健康諮詢有限公司



下顎の骨折 大東市 野崎駅前歯科クリニック 治療大解説




下顎骨骨折の症状 診断 治療 骨 筋肉 関節の病気 All About




下巴整形介紹 下巴截骨手術 下顎手術 墊下巴 長庚資深謝宇軒醫師




下顎骨 かがくこつ したあご の骨折 日本医科大学武蔵小杉病院




3d列印助攻智慧醫療列印下顎骨人道援助菲國病患 Omaker 3d Printer




口腔顎面外科 下顎骨骨折 經典牙醫 大紀元




下頷骨骨折 维基百科 自由的百科全书



特殊設計的顏面骨釘 陳怡傑醫師 雅丰診所




下顎骨骨折の症状 診断 治療 骨 筋肉 関節の病気 All About




下顎骨骨折 中頭病院




戽斗妹變正妹重拾笑容當個大學新鮮人 台灣好新聞taiwanhot Net




無痕削骨 聖緹雅醫美




下顎骨削骨 電漿抽脂 鬱金香拉皮 複合式眼袋手術 超能電漿 巨星醫美整形外科診所



内視鏡支援下顎骨関節突起骨折整復固定術 公立大学法人横浜市立大学大学院医学研究科顎顔面口腔機能制御学



Wsava Org Wp Content Uploads 21 05 Wsava Global Dental Guidelines Jsapmandarin Pdf




摔下樓梯右臉凹陷面癱手術還原面容 生活 中時




單純閉鎖性下顎骨骨折 Mandibular Angle Simple Close Fracture 新樓醫院口腔顎面外科的部落格 隨意窩xuite日誌




猫の眼球摘出 下顎骨折の手術 外科 やまと動物病院やまと動物病院



1



下顎の骨折 大東市 野崎駅前歯科クリニック 治療大解説



1




下顎骨骨折 中頭病院




車禍臉撞凹變形 淺談顏面骨骨折作者 臺大醫院外科部整形外科黃柏誠主治醫師專題報導19年08月臺大醫院健康電子報



下顎骨骨折 かがくこつこっせつ 弁護士による交通事故相談 弁護士法人前島綜合法律事務所



正顎手術之後的骨骼會完全癒合嗎 陳怡傑正顎削骨整形專科官方網站




下顎骨骨折の症状 診断 治療 骨 筋肉 関節の病気 All About




男子車禍上下顎 顴骨等嚴重骨折 走鐘 醫超越修圖軟體重建 Ettoday健康雲 Ettoday新聞雲



Http Oplab Im Ntu Edu Tw Vetweb System Application Views Continuingeducation Ce 69 Pdf




下顎骨骨折の症状 診断 治療 骨 筋肉 関節の病気 All About




外傷治療 田村歯科医院



老伯骑车摔倒撞到下巴竟成颌骨骨折 情况



顔面骨骨折 診療のご案内 琉球大学病院 形成外科



正顎手術 中亞健康網 用心傳遞每一刻為您把關健康人生




顎関節外来 専門外来について 堺市立総合医療センター




下顎骨下頜骨 一種頭骨 百度百科 Qqkaii




上顎骨骨折の症状 診断 治療 骨 筋肉 関節の病気 All About




下顎骨短顎骨矯形 Kelp



口腔外科 正顎手術 中山醫學大學附設醫院




顎関節外来 専門外来について 堺市立総合医療センター



Http Www Jingfu Org Tw Doc Jff Mgz M33 03 Pdf




顎関節突起骨折とは 歯科口腔外科症例解説一覧 東京銀座シンタニ歯科口腔外科クリニック




3d導航削骨導板為何 削骨達人線上解惑 削骨手術台北 桃園 台中 台南 高雄 專業整形外科 削骨 隆鼻 抽脂 隆乳 拉皮台灣教主整形醫美頂尖權威醫師推薦




臺北榮民總醫院



診療実績 対象疾患 歯科口腔外科 札幌市の総合病院 手稲渓仁会病院




下顎骨囊腫急 下顎骨角化囊腫有根除的方法嗎 rbmi




顏面骨折幾毀容重建手術喜重生 即時新聞 自由健康網



下顎骨骨折 かがくこつこっせつ 弁護士による交通事故相談 弁護士法人前島綜合法律事務所




下顎骨折 台大慈仁動物醫院 新竹 痞客邦




下顎骨囊腫下顎骨囊腫 如何處理 Aozqkc




下顎削骨手術 戰勝國字臉 聖緹雅醫美
コメント
コメントを投稿